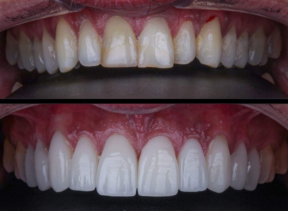
Dit wordt vaak ook facings of veneers genoemd. De facings worden direct met composiet vulmateriaal op de voortanden gemodelleerd. Het is een zeer effectieve behandeling indien voortanden verkleurd en/of scheef staan tegen relatief lage kosten van plusminus 100-130 euro per te behandelen tand.
Kunststof schildjes zijn een ideale cosmetische oplossing voor:
- Afgebroken tanden
- Spleetje tussen de tanden
- Scheve tanden
- Sterk aangetaste of verkleurde tanden

Wat is het?
Een veneer is een schildje van kunststof dat de tandarts direct bevestigd op een bestaande tand.
Behandeling:
De behandeling bestaat meestal uit een afspraak. Wat komt er tijdens deze afspraak allemaal aan bod?
- Kiezen van de kleur: Tijdens de behandeling bepaalt uw tandarts in overleg met u de juiste kleur van de veneer. Hij gebruikt daarvoor een kleurenstaal.
- Afslijpen van de tand: Bij een veneer moet de tandarts bijna altijd wat van de tand afslijpen om ruimte te maken voor het schildje.
- Bevestigen van de veneer: de tandarts brengt een hechtlaagje aan op uw tand om daarna met speciaal composiet de tand een nieuwe vorm en kleur te geven.
- Nadat de veneer is aangebracht werkt de tandarts de schildjes helemaal af en brengt de veneer met polijsten op hoogglans
Voor mensen die veel roken is deze behandeling minder geschikt, omdat composiet sneller kan verkleuren. In dit geval kunt u beter kiezen voor porselein, deze is kleurstabiel over de gehele levensduur